Skip to the content
節足動物がうつす感染症
  • Ana Sayfa
  • Hastalık Adları
    • Layşmanyaz
    • Sıtma
    • Lenfatik filaryaz
    • Chagas hastalığı
    • Afrika uyku hastalığı
  • Araştırma Projesi
  • Test
    • Kum sineği
    • Dişi Anofel sivrisineği
  • Saha Araştırma Notları
  • EN JA TR
      • English
      • 日本語
      • Türkçe
  • Ana Sayfa
  • Hastalık Adları
    • Layşmanyaz
    • Sıtma
    • Lenfatik filaryaz
    • Chagas hastalığı
    • Afrika uyku hastalığı
  • Araştırma Projesi
  • Test
    • Kum sineği
    • Dişi Anofel sivrisineği
  • Saha Araştırma Notları
  • EN JA TR
      • English
      • 日本語
      • Türkçe

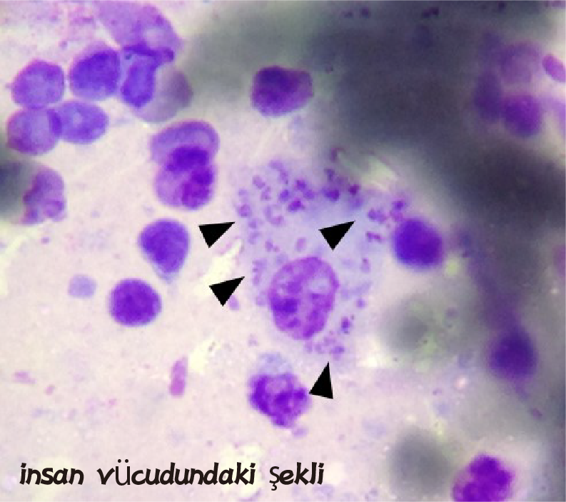
Tek hücreli organizma (Protozoon). Çok küçük!
Ancak başka bir canlının vücudunda yaşayabiliyor.

Okumaya devam edin (zor mu!)

reference: Parasitomimetics Website

İhmal Edilen Tropikal Hastalıklar
Ne yapabiliriz?
リーシュマニア症 Leishmaniasis Layşmanyaz

Diyagram

ベクター Vector Vektör sashid fly

Vektör

İnsan

Hayvan konak

  1. Ana Sayfa
  2. Layşmanyaz
  3. Layşmanyaz
  • Araştırma Projesi
  • İhmal Edilen Tropikal Hastalıklar
  • Temas etmek

© 2024- vector-borne-disease.org
illustration : Shiori EGI